어깨통증 원인
현대인의 생활 방식은 점점 정적인 방향으로 흐르고 있습니다. 장시간 컴퓨터를 사용하는 직장인, 스마트폰을 자주 사용하는 일반인, 무거운 물건을 반복적으로 드는 노동자까지, 거의 모든 사람에게 어깨통증은 익숙한 문제입니다. 이 글에서는 어깨통증 원인과 구체적인 설명, 통증이 발생했을 때 어떻게 대응해야 하는지를 자세히 다루어보겠습니다.


어깨통증이 처음에는 가볍게 뻐근한 정도로 시작되지만, 시간이 지나면서 일상생활에 큰 지장을 줄 만큼 심각한 통증으로 발전할 수 있습니다. 단순히 ‘담이 들었다’는 식으로 넘기기엔 어깨는 인체에서 매우 복잡하고 중요한 구조를 가진 부위입니다.






📌 목차 📌
- 🔶 어깨통증의 해부학적 배경
- 🔷 자주 발생하는 어깨통증 원인
- 🔶 어깨통증의 주요 증상별 진단 포인트
- 🔷 어깨통증이 나타날 때 해야 할 조치
- 🔶 어깨통증 완화를 위한 생활습관
- 🔷 어깨통증의 부위별로 의심할 수 있는 질환
- 🔷 어깨통증 관련 표 정리
- 🔶 어깨통증 관련 Q&A
- 🔷 어깨 통증, 조기 진단과 관리가 중요합니다






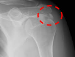
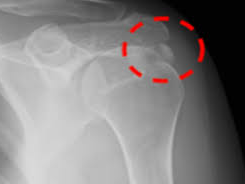
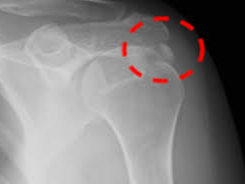
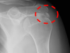
🔶 어깨통증의 해부학적 배경
어깨 관절은 팔뼈(상완골), 견갑골, 쇄골 등 세 가지 주요 뼈와 이를 연결하는 근육, 힘줄, 인대 등으로 구성되어 있습니다. 특히 ‘회전근개(rotator cuff)’라고 불리는 네 개의 근육은 어깨의 회전과 안정성 유지에 중요한 역할을 합니다. 문제는 이 구조가 매우 유연하면서도 섬세하다는 점입니다. 작은 외상이나 반복적인 사용만으로도 손상이 일어나기 쉽습니다.
🔷 자주 발생하는 어깨통증 원인
어깨통증은 단순 근육통부터 관절 내 구조물 손상까지 매우 다양한 원인으로 발생합니다. 대표적인 원인은 다음과 같습니다.
🔸 회전근개 질환
회전근개에 염증이 생기거나, 퇴행성 변화로 인해 파열되는 경우입니다. 팔을 들거나 뒤로 돌릴 때 통증이 심해집니다.
🔸 오십견 (유착성 관절낭염)
팔을 움직이기 어렵고, 특정 범위 이상으로 움직이면 통증이 발생합니다. 보통 50대 전후에서 발생하며, 통증보다는 움직임 제한이 특징입니다.
🔸 석회화 건염
힘줄 부위에 석회가 쌓이면서 심한 통증을 유발합니다. 급성으로 통증이 오고, 밤에 더 심해지는 경우가 많습니다.
🔸 어깨충돌증후군
팔을 들어올릴 때 견봉과 힘줄이 부딪혀 염증과 통증을 유발합니다. 반복적인 동작을 많이 하는 운동선수나 노동자에게 흔합니다.






🔶 어깨통증의 주요 증상별 진단 포인트
| 통증 위치 | 의심 질환 | 특징 증상 |
| 팔을 들 때 통증 | 회전근개 질환 | 움직일 때 통증 증가, 특정 각도에서 악화됨 |
| 야간 통증 | 석회화 건염, 오십견 | 밤에 통증 심해짐, 수면 방해 |
| 움직임 제한 + 통증 | 오십견 | 특정 범위 이상 움직이지 못함, 지속적 통증 |
| 손에 힘이 없음 | 회전근개 파열 | 팔 들기 어렵고 힘이 빠지는 느낌 |
🔷 어깨통증이 나타날 때 해야 할 조치
어깨 통증이 발생했을 때는 당장 병원을 가기 어려운 경우도 있습니다. 그러나 상황에 맞는 초기 조치를 취하면 회복에 큰 도움이 됩니다.
- 냉찜질: 통증이 시작된 직후 48시간 이내에는 얼음찜질이 효과적입니다. 부기와 염증을 줄이는 데 도움이 됩니다.
- 온찜질: 만성통증이거나 2~3일 이상 지속된 경우 온찜질이 근육 이완에 효과적입니다.
- 휴식: 무리하게 움직이지 않고, 통증 유발 동작은 피해야 합니다.
- 자세 교정: 스마트폰을 볼 때 목이 앞으로 쏠리는 자세, 팔꿈치를 걸치지 않고 타이핑하는 자세는 피해야 합니다.
🔶 어깨통증 완화를 위한 생활습관
- 스트레칭 루틴 만들기: 하루 10분씩 팔을 돌리거나 어깨 관절을 부드럽게 풀어주는 스트레칭이 중요합니다.
- 바른 수면자세: 옆으로 누워 자는 경우 반대쪽 팔에 베개를 끼워 어깨에 부담을 줄이는 것이 좋습니다.
- 정기적인 운동: 가벼운 근력운동이나 수영 등은 어깨 근육을 강화하는 데 도움이 됩니다.
- 무거운 짐은 분산하기: 한쪽 어깨에 무거운 가방을 매는 습관은 장기적으로 어깨 비대칭과 통증을 유발합니다.
🔶 어깨통증의 부위별로 의심할 수 있는 질환
- 어깨 앞쪽 통증
- 상완골두 골절: 팔꿈치를 지나치는 충격이나 낙상으로 인해 상완골의 끝부분에 골절이 발생할 수 있습니다. 이로 인해 어깨 앞쪽에 통증이 생길 수 있습니다.
- 어깨 충돌 증후군: 팔을 들어올릴 때 어깨 앞쪽에서 불편함을 느끼며, 충돌 증후군이 의심될 수 있습니다. 어깨의 회전근개와 어깨뼈가 충돌하면서 통증을 유발합니다.
- 어깨 뒤쪽 통증
- 어깨 후방 탈구: 외부 충격이나 사고로 어깨가 뒤로 빠지는 탈구가 발생할 수 있으며, 이로 인해 어깨 뒤쪽에 심한 통증이 발생합니다. 후방 탈구는 비교적 드물지만 심각한 통증을 유발할 수 있습니다.
- 어깨 외상 후 염증: 외상으로 인한 어깨 뒤쪽 근육이나 인대 손상 후 염증이 생기면 통증이 지속될 수 있습니다.
- 어깨 윗부분 통증
- 상완신경염: 어깨 윗부분의 신경이 자극을 받거나 염증이 발생하여, 어깨 윗부분과 팔꿈치 주변에 통증을 일으킬 수 있습니다. 과도한 힘이나 잘못된 자세에서 발생할 수 있습니다.
- 어깨 인대염: 어깨 인대에 염증이 생기면 윗부분에서 통증이 발생할 수 있으며, 팔을 들어 올릴 때 더 심해지는 경향이 있습니다.
- 어깨 외측 통증
- 어깨 탈구 후 후유증: 어깨가 탈구된 후 그 부위에서 회복이 제대로 되지 않으면 외측에 지속적인 통증이 나타날 수 있습니다. 이 경우 적절한 재활 치료가 필요합니다.
- 견갑골 골절: 견갑골이 외부의 충격이나 사고로 골절되면 외측에서 심한 통증을 유발할 수 있습니다. 이 경우 즉시 의사의 진단을 받아야 합니다.









🔷 어깨통증 관련 표 정리
| 원인 질환 | 발생 연령대 | 특징 | 치료 방법 |
| 회전근개 질환 | 전 연령대 | 움직일 때 통증, 힘 빠짐 | 물리치료, 주사, 필요 시 수술 |
| 오십견 | 40~60대 | 움직임 제한, 만성 통증 | 운동요법, 약물치료, 스트레칭 |
| 석회화 건염 | 30~50대 | 급성 통증, 야간 통증 | 주사치료, 체외충격파, 석회제거 |
| 어깨충돌증후군 | 20~50대 | 팔 들기 어려움, 반복 동작과 연관 | 스트레칭, 자세 교정, 필요 시 수술 |
💬 어깨통증 관련 Q&A
Q. 어깨가 아픈데 목디스크일 수도 있나요?
A. 네, 목 디스크가 어깨 부위에 방사통을 유발할 수 있습니다. 팔 저림이 동반되면 신경계 검사가 필요합니다.
Q. 어깨가 아파도 운동을 해야 하나요?
A. 급성 통증이 있는 경우 운동은 피해야 합니다. 하지만 만성 통증일 경우 가벼운 스트레칭은 회복에 도움이 됩니다.
Q. 한쪽 어깨만 아픈데 가방 때문일 수도 있나요?
A. 네, 한쪽 어깨에 반복적으로 하중이 가해지면 근육 불균형이 생기고, 통증이 발생할 수 있습니다.
Q. 병원은 어느 과를 가야 하나요?
A. 정형외과, 재활의학과, 또는 통증클리닉을 방문하시면 어깨 통증에 대한 정확한 진단과 치료가 가능합니다.



🔷 어깨 통증, 조기 진단과 관리가 중요합니다
어깨 통증은 단순한 근육 뭉침에서부터 심각한 질환까지 다양한 원인으로 발생할 수 있습니다. 통증이 반복되거나 지속된다면, 자가 치료에만 의존하기보다는 전문적인 진단을 받아 정확한 원인을 파악하는 것이 중요합니다. 통증이 심할 때는 냉찜질로 염증을 완화하고, 꾸준한 스트레칭과 적절한 운동으로 어깨를 관리하는 것이 필요합니다.
어깨 통증은 일상생활에 큰 불편을 초래할 수 있으므로, 조기 진단과 관리가 중요한 건강 문제입니다. 적극적인 치료와 예방이 장기적인 건강을 지키는 데 큰 도움이 됩니다.
'건강 상식' 카테고리의 다른 글
| 위염에 좋은 음식 (0) | 2025.05.13 |
|---|---|
| 갱년기 증상(여성, 남성) (0) | 2025.05.12 |
| 눈밑지방제거 수술비용 (0) | 2025.05.10 |
| 봉와직염 증상, 원인, 치료법 (0) | 2025.05.07 |
| 레몬수 효능, 먹는법 (0) | 2025.05.05 |