눈밑지방제거 수술비용
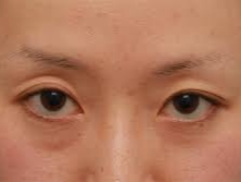
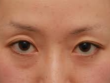
눈 밑이 불룩해 보이는 이유는 단순히 피하지방이 많아서가 아닙니다. 노화로 인해 눈을 지탱하는 인대가 약해지고, 그 틈 사이로 안와 지방이 앞으로 밀려나면서 눈 밑이 도드라져 보이는 것입니다. 오늘은 눈밑지방제거 수술비용에 대해서 알아 보겠습니다.


지방 제거 vs 지방 재배치, 그 차이를 먼저 알아야 합니다. 단순히 눈 밑 지방을 '제거'하는 수술이 적합하지 않을 수 있습니다. 왜냐하면 불룩한 지방을 무조건 줄이기만 하면 오히려 꺼짐이 더 도드라지고, 고르지 못한 윤곽이 생겨 또 다른 미용적 불균형을 초래할 수 있기 때문입니다. 그래서 등장한 방법이 바로 ‘눈밑 지방 재배치’입니다. 여기에 눈물고랑이 깊거나 피부가 처지면 어두워 보이는 그늘이 생기게 되며, 전체 인상이 피곤해 보이거나 나이 들어 보이게 됩니다.






눈밑 지방 재배치란 무엇인가요?
눈밑 지방 재배치는 단순히 지방을 ‘제거’하지 않고, 돌출된 지방을 필요한 부위로 ‘이동시켜 재배열’하는 수술입니다. 특히 꺼진 눈물고랑 부위를 채워주면서 자연스러운 눈 밑 윤곽을 만드는 데 목적이 있습니다.
이 수술은 눈 안쪽 결막을 통해 시행되므로 외부에 절개 자국이 남지 않습니다. 멍과 붓기도 비교적 적으며, 회복 기간이 짧은 편입니다. 보통 압박 드레싱은 일주일 내 제거되고, 2주 정도면 일상 생활 복귀가 가능할 정도로 회복됩니다.
눈밑 지방 재배치가 필요한 경우 vs 필요하지 않은 경우
눈밑 지방 재배치는 모든 사람에게 필요한 수술은 아닙니다. 개인의 눈 구조와 노화 정도에 따라 수술 방법이 달라질 수 있습니다.
- 눈물고랑이 깊거나 음영이 짙은 경우: 단순한 지방 제거로는 해결되지 않으며, 오히려 꺼진 부위가 더 두드러져 나이 들어 보일 수 있습니다. 이때는 지방을 꺼내어 꺼진 부위로 재배치하는 방식이 적합합니다.
- 눈물고랑이 거의 없고 지방 돌출이 주된 경우: 이런 경우에는 단순 지방 제거만으로도 충분히 개선 효과를 볼 수 있으며, 재배치까지는 필요하지 않을 수 있습니다.
다시 말해, 눈밑 지방 재배치는 '무조건 하는 것이 좋은 수술'이 아니라, 해부학적 구조에 따라 '필요한 사람만' 받는 것이 바람직합니다.
수술 시간 및 회복 기간은 어느 정도인가요?
눈밑 지방 재배치 수술은 비교적 간단한 수술에 속하며, 수술 시간은 약 30분에서 1시간 내외입니다. 수술은 대부분 국소마취 또는 수면마취로 진행되며, 전신마취는 드물게 사용됩니다.
회복 기간은 1~2주 정도입니다. 수술 직후에는 약간의 붓기나 뭉침이 느껴질 수 있으나, 이는 일시적인 증상이며 대부분 빠르게 회복됩니다. 겉보기 멍이 거의 없기 때문에 사회생활을 빨리 재개할 수 있는 장점도 있습니다.






눈밑지방제거 수술비용은 얼마이고, 왜 병원마다 다를까요?
눈밑 지방 관련 수술 비용은 병원마다 차이가 큰 편입니다. 이는 수술 방식, 사용하는 장비, 수술 집도의의 경험, 마취 방식, 입원 여부 등 여러 요인이 영향을 미치기 때문입니다.
눈밑 지방 수술의 가격은 수술 방식에 따라 달라집니다.
- 단순 지방 제거
- 지방 재배치
- 하안검 성형 병행
이 세 가지 방식에 따라 가격 차이가 있으며, 보통 백만 원에서 사백만 원 사이입니다.
정확한 비용은 병원과 개인의 상태에 따라 다를 수 있으므로, 수술 전 전문가와 상담을 받는 것이 중요합니다.
특히 지방 재배치의 경우 단순 제거보다 섬세한 조작과 해부학적 지식이 요구되므로, 수술비가 더 높게 책정되는 경우가 많습니다.단순 가격만 비교할 것이 아니라 본인의 눈 상태 분석과 맞춤형 상담을 통해 판단하는 것이 중요합니다.
수술 전, 반드시 아래와 같은 사항을 체크하세요.
- 수술 집도의의 눈 성형 전문성
- 결막 접근 여부 및 흉터 가능성
- 수술 후 일상 복귀까지의 기간
- 지방재배치 여부의 판단 기준



눈밑 지방 관련 수술 방법
- 결막 접근법
- 절개: 눈꺼풀 속 결막을 통해 접근하여 외부에 절개 자국이 남지 않습니다.
- 장점: 흉터가 거의 남지 않으며, 회복이 빠르고 자연스러운 결과를 얻을 수 있습니다.
- 적합한 경우: 피부 탄력이 좋은 경우, 지방 제거 또는 재배치가 필요한 경우에 적합합니다.
- 피부 절개법
- 절개: 눈밑 피부에 절개를 가해, 지방을 제거하거나 재배치하는 방식입니다.
- 장점: 피부 처짐이 있는 경우, 피부를 동시에 교정할 수 있는 방법입니다.
- 적합한 경우: 눈 밑에 처진 피부가 있을 때, 지방과 피부 처짐을 동시에 개선하고자 할 때 효과적입니다.
또한, 수술 중 단순히 지방을 제거하는 것뿐만 아니라, 지방을 재배치하거나 미세 지방이식을 통해 눈물고랑 부위를 자연스럽게 채우는 방식도 사용됩니다. 이렇게 복합적인 방법으로 눈 밑의 해부학적 구조를 개선하여 더 자연스러운 결과를 얻을 수 있습니다.
각 수술법은 환자의 눈 밑 상태에 맞춰 결정되므로, 수술 전 전문가의 진단과 상담을 받는 것이 매우 중요합니다.



Q&A: 눈밑지방 관련 자주 묻는 질문
Q. 눈밑 지방 제거를 받으면 다크서클도 없어지나요?
A. 눈밑 지방이 돌출되어 그림자가 생기는 경우에는 개선될 수 있습니다. 하지만 색소 침착형 다크서클은 별도의 치료가 필요합니다.
Q. 수술 후 통증이 심한가요?
A. 수술 직후 이물감이나 약한 통증이 있을 수 있지만, 일반적으로 심한 통증은 없으며, 진통제로 조절 가능합니다.
Q. 재수술도 가능한가요?
A. 가능합니다. 다만 기존 수술로 인한 조직 손상이나 흉터 등을 고려해야 하므로 반드시 숙련된 전문의의 진단이 선행되어야 합니다.
Q. 눈밑 지방 재배치 수술 후 다시 지방이 불룩해지기도 하나요?
A. 수술 후 시간이 지나면서 노화에 따라 변화가 생길 수는 있으나, 재배치 수술은 구조적인 개선을 목표로 하므로 장기적인 효과가 기대됩니다.
Q. 수술 전 준비할 것은 무엇인가요?
A. 항응고제 복용 여부, 알레르기 유무, 기존 질환 등을 미리 알려야 하며, 수술 당일은 화장 및 렌즈 착용을 피해야 합니다.


마무리 정리
눈밑 지방 수술은 단순히 지방을 '없애는 것'이 아니라, '재배열하고, 조화롭게 만드는 것'에 가깝습니다. 지방 제거와 지방 재배치의 선택은 눈물고랑의 형태, 피부 탄력도, 눈 구조에 따라 달라지며, 이 기준은 개인별로 정밀하게 분석되어야 합니다.
눈밑지방재배치 비용이 궁금하시다면 단순 금액보다는 ‘내 눈에 맞는 수술은 무엇인가’를 먼저 파악하는 것이 가장 현명한 선택입니다.
'건강 상식' 카테고리의 다른 글
| 갱년기 증상(여성, 남성) (0) | 2025.05.12 |
|---|---|
| 어깨통증 원인 (0) | 2025.05.11 |
| 봉와직염 증상, 원인, 치료법 (0) | 2025.05.07 |
| 레몬수 효능, 먹는법 (0) | 2025.05.05 |
| 쇠비름 효능 (0) | 2025.05.03 |