복부 초음파로 알 수 있는 것( 질환, 비용)
이번 글에서는 복부 초음파로 알 수 있는 질환들, 비용, 각각의 증상, 검사 과정, 주의사항 및 장단점을 상세히 다루어 보겠습니다.

복부 초음파 검사는 간, 췌장, 신장, 담낭 등 복부 장기의 상태를 정밀하게 확인할 수 있는 중요한 진단 도구입니다. 이 검사는 단순히 장기의 구조를 확인하는 데 그치지 않고, 질환의 조기 발견 및 상태 파악에도 활용됩니다. 방사선 대신 고주파 음파를 사용해 안전하며, 임산부와 어린이에게도 적합합니다
복부 초음파로 진단 가능한 주요 질환과 증상
- 간 질환
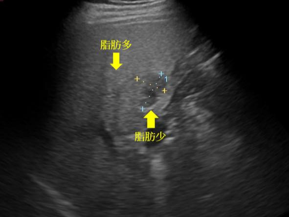
- 지방간: 지방이 간에 과도하게 축적되는 질환입니다. 초기에는 증상이 거의 없지만, 진행되면 피로감, 오른쪽 복부 불편감, 체중 증가 또는 감소가 나타날 수 있습니다. 복부 초음파로 간의 지방 침착 여부와 간의 크기 변화를 확인할 수 있습니다.
- 간경변증: 간이 점진적으로 손상되고 섬유화되는 질환으로, 만성 간염이나 알코올 중독이 주요 원인입니다. 초기에는 식욕 부진, 체중 감소, 복부 팽만감 등의 증상이 나타나며, 심한 경우 복수가 차거나 황달이 생길 수 있습니다.
- 간암: 간에 발생하는 악성 종양으로, 초기에 증상이 거의 없지만 복통, 체중 감소, 황달, 오른쪽 상복부 통증이 있을 수 있습니다. 초음파를 통해 종양의 크기와 위치를 확인할 수 있습니다.
- 담낭 및 담도 질환
- 담석증: 담낭이나 담도에 결석이 형성되는 질환으로, 주로 식후 상복부 통증, 메스꺼움, 구토 증상이 나타납니다. 결석이 담도를 막으면 심한 통증과 함께 황달이 동반될 수 있습니다.
- 담낭염: 담낭에 염증이 생기는 질환으로, 담석증이 원인인 경우가 많습니다. 발열, 오른쪽 상복부 통증, 소화불량 등의 증상이 나타나며, 초음파로 담낭의 크기와 염증 여부를 확인합니다.
- 담도 폐쇄: 담즙의 흐름이 막히는 상태로, 황달, 어두운 색 소변, 회색 변 등의 증상이 나타납니다. 초음파를 통해 담도 확장 여부를 진단합니다.
- 췌장 질환
- 췌장염: 급성 또는 만성으로 발생할 수 있으며, 상복부에서 시작해 허리로 퍼지는 강한 통증이 특징입니다. 구토, 발열, 소화불량이 동반될 수 있습니다. 초음파로 췌장의 크기와 염증 여부를 확인합니다.
- 췌장암: 진행이 빠르고 예후가 좋지 않은 질환으로, 초기에는 증상이 미미하지만, 상복부 통증, 체중 감소, 황달 등이 나타날 수 있습니다. 초음파로 암 조직의 위치와 크기를 확인합니다.
- 신장 질환
- 신장결석: 신장에 돌이 생기는 질환으로, 극심한 옆구리 통증, 혈뇨, 배뇨 곤란이 주요 증상입니다. 초음파로 결석의 크기와 위치를 확인합니다.
- 신장암: 초기에는 증상이 거의 없지만, 진행되면 혈뇨, 옆구리 통증, 체중 감소 등의 증상이 나타날 수 있습니다. 초음파는 신장 내부의 종양 유무를 확인하는 데 유용합니다.
- 비장 질환
- 비장 비대증: 비장의 크기가 비정상적으로 커지는 상태로, 감염, 간질환, 혈액 질환 등이 원인일 수 있습니다. 복부 통증, 피로감, 빈혈 등이 나타날 수 있으며, 초음파로 비장의 크기를 측정합니다.
- 비장 손상: 외부 충격으로 인한 출혈이나 파열로, 왼쪽 상복부 통증, 어깨로 방사되는 통증, 저혈압 등이 동반될 수 있습니다.
- 복부 혈관 이상
- 복부 대동맥류: 복부 대동맥이 비정상적으로 확장된 상태로, 초기에는 증상이 없지만, 복부나 등에 둔한 통증이 느껴질 수 있습니다. 파열 시 생명을 위협하는 출혈이 발생하므로, 초음파로 조기에 발견하는 것이 중요합니다.
- 혈전: 혈관 내부에 혈전이 형성되어 혈류를 막는 상태로, 복부 통증, 다리 부종, 호흡곤란 등의 증상이 나타날 수 있습니다.
- 남성과 여성 생식기 질환
- 여성: 자궁근종, 난소낭종: 자궁근종은 생리불순, 생리통, 복부 팽만감을 유발할 수 있으며, 난소낭종은 복부 통증, 생리 이상이 특징적입니다. 초음파로 병변의 크기와 위치를 확인할 수 있습니다.
- 남성: 전립선 비대증: 배뇨 장애, 빈뇨, 요정체가 나타날 수 있으며, 초음파를 통해 전립선 크기와 이상 여부를 확인합니다.






복부 초음파 검사 과정
- 검사 준비
- 검사 전 최소 6시간 이상 금식합니다. 소화된 음식물이 영상 품질에 영향을 줄 수 있기 때문입니다.
- 가스를 발생시키는 음식 섭취를 피하고, 특정 약물을 복용 중인 경우 의료진과 상의합니다.
- 검사 진행
- 환자는 침대에 누워 복부를 노출합니다.
- 의료진이 초음파 젤을 바른 후 탐촉자로 복부를 관찰하며, 다양한 각도에서 영상을 확인합니다.
- 15~30분 정도 소요되며, 통증은 거의 없습니다.
- 검사 후 주의사항
- 검사 후 특별한 주의사항은 없으며, 일상생활로 바로 복귀할 수 있습니다.
- 결과에 따라 추가 검사나 치료 계획이 필요할 수 있습니다.
- 복부 초음파의 장점과 한계
장점
- 방사선이 없어 안전하며, 다양한 연령층에서 활용 가능.
- 간단하고 신속한 검사로 많은 정보를 제공.
- 상대적으로 비용이 저렴하고 접근성이 높음.
한계
- 검사자의 숙련도에 따라 결과가 달라질 수 있음.
- 가스나 비만 등 외부 요인이 영상 품질에 영향을 줄 수 있음.
- 일부 병변은 CT나 MRI 같은 추가 검사가 필요함.




복부 초음파 비용
- 진료 행위별 가산료 차이
의료기관 등급에 따라 진료 행위에 붙는 가산료 비율이 다릅니다.- 의원급 의료기관: 15%
- 상급종합병원: 30%이는 동네의원이 상급종합병원보다 낮은 진찰료와 높은 가산료를 적용받기 때문에 특정 검사나 수술에서는 의원급 비용이 더 비싸질 수 있음을 뜻합니다.
- 의료기관 운영 방식 차이
상급종합병원은 대규모의 환자와 고급 의료진을 바탕으로 진료 효율성이 높아 검사 및 수술 비용이 상대적으로 낮아질 수 있습니다. 반면, 의원급 의료기관은 환자 수와 진료 과정이 제한적이므로 개별 검사나 수술에 더 많은 비용을 부과하게 되는 경향이 있습니다. - 보험제도의 불균형
초음파, CT, 수술 등 다양한 의료 서비스에서 동네의원의 수가가 대형 병원의 수가를 초과하는 구조가 보편적이라는 점은 보험 수가 제도의 불균형을 나타냅니다. 특히 암 수술 같은 고난도 진료도 의원급 수가가 더 높은 경우가 있습니다. - 복잡한 비용 계산 구조
수가 산정 과정에서 검사 종류, 의료 장비 수준, 지역별 물가 차이 등이 반영되면서 같은 검사라 하더라도 의료기관마다 다른 비용이 책정될 수 있습니다.



정부와 전문가들의 개선 방안
이러한 수가체계의 문제를 해결하기 위해 정부와 의료계는 다양한 개선책을 논의하고 있습니다. 2025년까지 '건강보험 종합계획'을 발표할 예정이며, 여기에는 지역·필수 의료 강화와 관련된 지불제도 혁신 방향이 포함될 것으로 보입니다.
신현웅 한국보건사회연구원 선임연구위원과 김진현 서울대 간호학과 교수는 관련 토론회에서 진료 행위별 가산료를 재조정하고, 의료기관별 특성을 고려한 차별화된 수가 체계를 마련해야 한다고 주장했습니다. 이는 상급종합병원과 의원급 의료기관 간의 불합리한 수가 역전을 바로잡고, 환자들이 적정한 비용으로 양질의 의료서비스를 받을 수 있도록 돕기 위한 방안입니다.
환자를 위한 팁: 비용과 효율성 고려하기
- 검사와 진료의 목적 확인
특정 질환이 의심되거나 정밀 검사가 필요할 경우, 대형 병원을 방문하면 진단의 정확성을 높일 수 있습니다. 하지만 정기 검진이나 간단한 진료는 동네의원에서도 충분히 가능합니다. - 보험 적용 여부 확인
건강보험과 실손보험 적용 범위를 미리 확인하여 본인 부담금을 줄일 수 있는 방법을 찾으세요. 특히, 보험 적용 기준에 따라 상급종합병원의 검사비가 더 낮아질 수 있습니다. - 비용 비교
진료받기 전에 의료기관별 비용을 비교해 자신에게 가장 적합한 선택을 하세요. - 지역 의료기관 이용
동네의원이 상급종합병원보다 비싼 경우도 있지만, 가까운 곳에서 진료를 받을 수 있는 장점은 여전히 큽니다.




결론
복부 초음파 검사는 현대 의료에서 중요한 역할을 하는 진단 도구로, 간, 담낭, 췌장, 신장 등 복부 장기의 이상을 조기에 발견하고 적절한 치료 계획을 수립하는 데 필수적입니다. 이 검사는 비침습적이고 안전하며 방사선 노출이 없어 반복적인 사용에도 부담이 적은 점이 장점입니다. 특히 지방간, 간경변, 담석증, 췌장암과 같은 심각한 질환을 조기에 발견할 수 있어 예방 의료의 핵심 수단으로 자리 잡고 있습니다.
복부 초음파 검사는 경제적이고 효율적인 의료 자원 사용을 통해 국민 건강을 지키는 데 중요한 역할을 합니다. 하지만 검사 비용을 비교하는 것 외에도 의료기관 선택 시 본인의 건강 상태, 병원의 진료 전문성, 접근성을 함께 고려하는 것이 중요합니다. 각 의료기관의 특성과 본인의 상황에 맞는 현명한 선택이 질병 예방과 조기 치료의 첫걸음이 될 것입니다.
앞으로 의료비 체계의 불균형이 해소되고, 보다 많은 사람들이 적절한 의료 서비스를 경제적 부담 없이 받을 수 있는 환경이 조성되기를 기대합니다. 이를 통해 더 건강하고 행복한 삶을 누릴 수 있는 기반이 마련될 것입니다.
'건강 상식' 카테고리의 다른 글
| 레몬수 효능, 먹는법 (0) | 2025.05.05 |
|---|---|
| 쇠비름 효능 (0) | 2025.05.03 |
| 강직성 척추염(증상, 원인, 치료법) (0) | 2025.04.30 |
| 지르텍 효능 복용법 (0) | 2025.04.28 |
| 대상포진 초기증상 (0) | 2025.04.27 |