강직성 척추염(증상, 원인, 치료법)
강직성 척추염은 주로 척추와 천장관절(골반 부위의 관절)에 만성 염증이 발생하는 자가면역성 질환입니다. 시간이 지남에 따라 염증이 반복되면서 척추뼈가 서로 융합되는 현상이 일어날 수 있어, 척추가 굳고 유연성을 잃게 됩니다. 이로 인해 자세가 변형되고 통증이 심해지는 특징을 보입니다. 비교적 젊은 나이에 발병하는 경우가 많으며, 남성에게서 더 흔히 나타나는 경향이 있습니다.


강직성 척추염의 주요 증상
강직성 척추염은 초기에 흔히 허리통증이나 엉덩이 통증으로 시작되지만, 시간이 지나면서 전신으로 증상이 퍼질 수 있습니다. 주요 증상은 다음과 같습니다.
- 허리와 엉덩이의 만성 통증: 특히 아침에 일어났을 때 통증이 심하고, 움직이면 완화되는 특징이 있습니다.
- 척추의 뻣뻣함: 주로 새벽이나 아침에 심하며, 활동을 시작하면 점차 부드러워집니다.
- 자세 변화: 질환이 진행되면서 척추가 굽어 몸이 앞으로 굽는 경향을 보입니다.
- 관절 통증: 어깨, 무릎, 발목 등의 관절에도 통증이 발생할 수 있습니다.
- 눈의 염증: 포도막염이 동반되어 눈의 통증이나 충혈, 시야 흐림을 경험할 수 있습니다.
- 피로감: 염증에 의한 전신 피로가 동반되는 경우가 많습니다.
초기에 허리디스크나 단순 근육통으로 오인하기 쉬워 진단이 지연되는 경우도 많습니다. 하지만 통증이 장기화되고 움직임에 따라 호전된다면 강직성 척추염을 의심해 볼 필요가 있습니다.






강직성 척추염의 원인
강직성 척추염의 정확한 발병 원인은 아직 완전히 밝혀지지 않았습니다. 다만, 여러 연구 결과에 따르면 다음과 같은 요인이 관련 있는 것으로 나타났습니다.
- 유전적 요인: HLA-B27이라는 유전자 변이가 강직성 척추염 발병과 깊은 관련이 있습니다. HLA-B27 양성인 경우 강직성 척추염 발병 확률이 현저히 높아집니다.
- 면역 체계 이상: 자가면역 질환 특성상, 신체가 자신의 조직을 이물질로 오인하여 공격하면서 염증이 생기는 것으로 추정됩니다.
- 환경적 요인: 세균 감염이나 환경적인 스트레스가 면역 반응을 유발해 병을 촉진할 가능성도 제기되고 있습니다.
- 성별 및 연령: 주로 20~30대 젊은 남성에게서 많이 발생하지만, 여성이나 어린이에게서도 드물게 발병할 수 있습니다.
이러한 다양한 요인이 복합적으로 작용해 질환이 발병하는 것으로 이해되고 있으며, 특정 단일 요인만으로 설명하기는 어렵습니다.
강직성 척추염의 진단 방법
강직성 척추염은 여러 가지 검사를 종합적으로 고려해 진단하게 됩니다.
- 병력 청취: 환자가 경험하는 통증의 양상, 기간, 악화 및 완화 요인 등을 꼼꼼히 확인합니다.
- 신체 검사: 척추의 유연성 검사, 엉덩이 관절의 움직임 검사 등을 시행합니다.
- 혈액 검사: HLA-B27 유전자 검사를 비롯하여 염증 수치를 확인합니다.
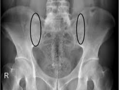
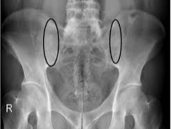
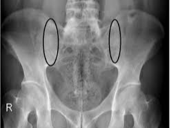
- 영상 검사: 엑스레이나 MRI를 통해 척추와 천장관절의 염증 및 손상을 확인합니다.
초기에는 영상검사상 이상이 뚜렷하게 나타나지 않을 수 있으므로, 증상이 지속된다면 반복적인 추적 관찰이 필요합니다.
강직성 척추염의 치료법
현재 강직성 척추염을 완전히 치유하는 방법은 없습니다. 그러나 조기 발견 후 적절한 치료를 통해 증상을 관리하고, 척추의 손상 진행을 늦출 수 있습니다.
약물치료
- 소염진통제(NSAIDs): 초기 통증과 염증을 완화하는 데 가장 기본적으로 사용됩니다.
- 생물학적 제제(항-TNF, 항-IL-17): 일반 소염제에 반응하지 않는 경우 강력한 항염 효과를 가진 생물학적 제제를 투여합니다.
- 면역조절제: 염증성 면역 반응을 억제하는 데 사용됩니다.
물리치료 및 운동요법
강직성 척추염 관리에서 운동은 매우 중요한 역할을 합니다. 규칙적인 스트레칭과 척추 유연성 운동은 척추 강직을 예방하고, 일상생활 기능을 유지하는 데 도움을 줍니다.
- 척추 스트레칭
- 관절 가동 범위 유지 운동
- 호흡근 강화 운동
운동은 통증이 심한 경우에도 완전히 중단하지 않고 가능한 범위 내에서 지속하는 것이 중요합니다.
수술적 치료
질환이 심각하게 진행하여 관절이 심각하게 변형되거나 일상생활에 큰 지장이 있는 경우, 인공관절 치환술 등 수술적 방법이 고려될 수 있습니다. 그러나 이는 극히 일부 환자에게 해당합니다.
강직성 척추염 환자가 지켜야 할 생활습관
강직성 척추염은 일상생활 속 관리가 매우 중요한 질환입니다. 치료와 더불어 다음과 같은 생활 습관을 지키는 것이 증상 완화에 도움이 됩니다.
- 규칙적인 운동: 관절 가동성과 유연성을 유지하기 위해 꾸준히 운동합니다.
- 올바른 자세 유지: 앉거나 설 때 허리를 곧게 펴고, 등을 구부정하게 하는 습관을 피합니다.
- 금연: 흡연은 염증을 악화시키고 척추 강직을 촉진할 수 있습니다.
- 건강한 식습관: 항염 효과가 있는 채소와 과일 위주의 식사를 권장합니다.
- 스트레스 관리: 스트레스는 면역체계에 부정적인 영향을 미칠 수 있어, 충분한 휴식과 심리적 안정을 유지해야 합니다.
강직성 척추염과 함께 살아가기
강직성 척추염은 평생 관리가 필요한 만성질환이지만, 조기에 발견하고 적극적으로 치료와 운동을 병행하면 충분히 정상적인 일상생활을 유지할 수 있습니다. 특히 꾸준한 물리치료와 운동, 정기적인 진료를 통해 척추 유연성을 최대한 오래 유지하는 것이 핵심입니다.
또한, 증상이 호전되거나 악화될 때의 변화를 민감하게 감지하고 의료진과 긴밀히 소통하는 것도 중요합니다. 강직성 척추염 환자 모임이나 지원 단체를 통한 정보 공유와 정서적 지지도 큰 도움이 될 수 있습니다.









강직성 척추염 Q&A
Q1. 강직성 척추염은 유전병인가요?
A. 강직성 척추염 자체가 유전병이라고 보기는 어렵지만, 특정 유전자를 가진 사람에게서 발병 확률이 높습니다. 특히 HLA-B27 유전자가 있는 경우 발병 가능성이 일반인보다 훨씬 증가합니다. 그러나 HLA-B27을 가진다고 해서 모두 발병하는 것은 아니며, 환경적 요인과 개인의 면역 반응이 함께 작용해야 질병이 나타납니다.
Q2. 강직성 척추염은 운동선수처럼 활동적인 사람에게도 생길 수 있나요?
A. 네, 신체 활동량과 관계없이 누구에게나 발병할 수 있습니다. 오히려 운동선수처럼 활발히 움직이는 경우 초기 증상을 무시하고 지나칠 가능성이 있어 진단이 늦어질 수 있습니다. 활동성이 높더라도 아침에 뻣뻣한 통증이 지속된다면 주의 깊게 살펴야 합니다.
Q3. 강직성 척추염이 진행되면 키가 줄어들 수 있나요?
A. 그렇습니다. 질환이 진행되면서 척추가 굽거나 강직되면 자연스럽게 신장이 줄어드는 현상이 나타날 수 있습니다. 특히 척추 변형이 심할 경우 눈에 띄게 키가 줄어들기도 합니다.
Q4. 강직성 척추염 환자는 어떤 운동을 피해야 하나요?
A. 척추에 과도한 충격을 주는 운동은 피하는 것이 좋습니다. 예를 들어, 격투기, 럭비, 트램펄린처럼 척추나 관절에 큰 무리를 주는 운동은 추천되지 않습니다. 대신 수영, 요가, 필라테스처럼 몸의 유연성과 근력을 함께 키울 수 있는 운동이 권장됩니다.
Q5. 강직성 척추염이 심하면 호흡에도 문제가 생기나요?
A. 네, 심한 경우 흉곽이 굳어 폐가 제대로 팽창하지 못하는 상황이 발생할 수 있습니다. 이로 인해 숨쉬기가 답답해지거나 숨이 차는 증상이 나타날 수 있습니다. 이런 경우 호흡 근육을 강화하는 운동이 매우 중요합니다.
Q6. 강직성 척추염과 비슷한 증상을 보이는 다른 질병은 무엇이 있나요?
A. 강직성 척추염과 증상이 비슷한 질병으로는 요추 디스크 탈출증, 류마티스 관절염, 반응성 관절염 등이 있습니다. 초기에는 감별이 쉽지 않아 전문적인 진단이 필요합니다.
Q7. 강직성 척추염 환자에게 스트레스가 왜 해로운가요?
A. 스트레스는 면역계에 부정적인 영향을 미쳐 염증 반응을 촉진할 수 있습니다. 강직성 척추염은 자가면역 반응과 관련이 있으므로 스트레스를 받으면 증상이 악화될 가능성이 높습니다. 따라서 심리적 안정을 유지하는 것이 관리에 중요합니다.
Q8. 강직성 척추염이 눈에도 영향을 줄 수 있나요?
A. 네, 강직성 척추염 환자의 약 30~40%는 포도막염과 같은 안과 질환을 경험할 수 있습니다. 눈의 통증, 충혈, 시야 흐림 등이 발생할 수 있으며, 이런 증상이 나타나면 즉시 안과 진료를 받아야 합니다.
Q9. 강직성 척추염이 여성에게 나타날 때 남성과 다른 점이 있나요?
A. 여성에게 발병하는 경우 증상이 비교적 완만하고 천천히 진행되는 경우가 많습니다. 그러나 통증이 더 광범위하게 나타날 수 있고, 진단이 늦어지는 경우도 흔합니다. 여성 환자는 피로감이나 관절통이 주 증상일 수 있어 주의 깊은 진단이 필요합니다.
Q10. 강직성 척추염은 식이요법으로도 관리할 수 있나요?
A. 식이요법이 질병 자체를 완치할 수는 없지만, 염증 반응을 완화하는 데 도움을 줄 수 있습니다. 특히 오메가-3 지방산이 풍부한 생선, 항산화 성분이 많은 채소와 과일, 가공식품과 설탕 섭취를 줄이는 식단이 권장됩니다. 개인에 따라 장 건강을 고려한 식이 조정도 도움이 될 수 있습니다.



마치며
강직성 척추염은 단순한 허리질환으로 치부하기에는 그 영향이 크고 깊은 질병입니다. 조기 진단과 꾸준한 관리만이 증상 악화를 막고 삶의 질을 지키는 열쇠가 됩니다. 허리 통증이 장기간 지속되거나, 움직일 때 통증이 완화되는 특징이 있다면 반드시 전문의 상담을 받아보시길 권장합니다.
'건강 상식' 카테고리의 다른 글
| 쇠비름 효능 (0) | 2025.05.03 |
|---|---|
| 복부 초음파로 알 수 있는 것( 질환, 비용) (0) | 2025.05.01 |
| 지르텍 효능 복용법 (0) | 2025.04.28 |
| 대상포진 초기증상 (0) | 2025.04.27 |
| 비타민d 부족증상 (0) | 2025.04.25 |