발가락 골절 완치 기간 및 스플린트 깁스
발가락 골절이란?
발가락 골절(족지 골절)은 일상에서 매우 흔하게 발생하는 부상 중 하나로, 발가락에 강한 충격이 가해지거나 압력이 집중되었을 때 생깁니다. 가구 모서리에 발을 부딪히거나 무거운 물건이 떨어지는 단순한 사고로도 쉽게 골절될 수 있습니다. 특히 슬리퍼를 신은 상태에서 문틀에 부딪히거나 발가락을 접질리는 사고가 대표적입니다. 통계적으로 보면 5번째 발가락, 즉 새끼발가락 골절이 가장 빈번합니다. 구조적으로 작고 외측에 위치해 있어 외부 충격에 취약하기 때문입니다.

해부학적으로 엄지발가락은 2개의 마디뼈(지골)로, 나머지 발가락은 3개의 마디뼈로 구성되어 있습니다. 그러나 한국인의 약 70%는 새끼발가락이 두 개의 마디뼈만 가지고 있다고 보고됩니다. 이러한 해부학적 차이는 골절 양상에도 영향을 주며, 단순 골절에서부터 관절을 침범한 복합 골절까지 다양한 형태로 나타납니다.
발가락 골절의 주요 증상
골절 직후에는 통증과 부종이 나타나며, 해당 부위를 누르거나 걸을 때 심한 통증을 느낍니다. 외상으로 인해 혈관이 손상되면 멍(피하출혈)이 생기고, 발톱 밑에 피가 고이는 조갑하혈종이 동반되기도 합니다. 특히 엄지발가락 골절 시 발톱 아래에 검게 피가 차는 경우가 흔하며, 이때는 통증이 극심할 수 있습니다.



대표적인 증상은 다음과 같습니다.
- 부기 및 통증
- 멍이나 색 변화
- 발가락의 비정상적인 각도나 변형
- 체중을 싣기 힘듦
- 발톱 밑 출혈(조갑하 혈종)
이러한 증상이 나타나면 즉시 X-ray 검사를 통해 골절 여부를 확인해야 합니다. 단순 타박상으로 오인하고 방치하면 뼈가 어긋난 상태로 붙어 부정유합이 생기거나, 장기적으로 관절염을 유발할 수 있습니다.
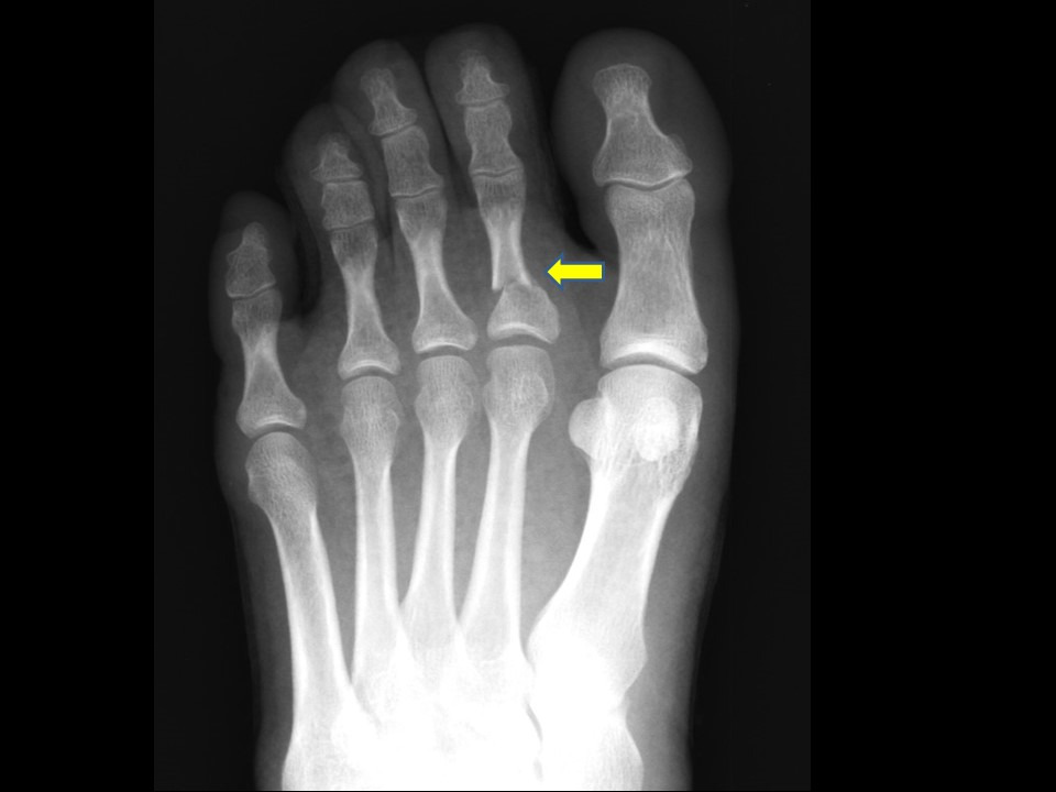
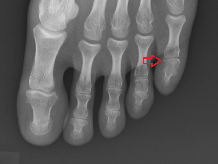
진단 방법과 X-ray 검사
의사는 통증 부위와 발가락 변형을 육안으로 확인한 뒤, X-ray로 골절선의 위치와 전위(뼈의 어긋남) 여부를 판별합니다. 단순 골절인지, 관절면을 침범한 복합 골절인지에 따라 치료 방향이 달라집니다. 경우에 따라 CT 촬영이 필요할 수도 있습니다. 엄지발가락처럼 체중이 집중되는 부위일수록 정확한 영상 진단이 중요합니다.


보존적 치료 (비수술적 치료)
대부분의 발가락 골절은 수술 없이도 치료가 가능합니다. 전위가 없는 단순 골절일 경우, 고정과 보호만으로 뼈가 잘 붙습니다.
보존적 치료 방법에는 다음이 포함됩니다.
- 버디 테이핑(buddy taping): 부러진 발가락을 옆의 정상 발가락과 함께 묶어 서로 부목 역할을 하게 하는 방식입니다. 발가락 사이에는 거즈를 끼워 마찰을 줄이고, 반창고보다는 코반(Coban) 같은 탄력밴드를 사용하는 것이 착용감이 좋습니다.
- 단단한 밑창 신발 착용: 체중 부하를 줄이기 위해 딱딱한 밑창 신발이나 보호용 샌들을 신습니다.
- 단기 부목(Splint) 또는 반깁스: 부종이 심하거나 뼈의 안정성이 낮을 때는 짧은 다리부목(Short leg splint)을 대어 추가 고정을 합니다.
- 체중 부하 제한: 초기 2~3주는 체중을 실지 않거나 최소한으로 유지하는 것이 원칙입니다.
이 시기에는 얼음찜질로 부기를 완화하고, 발을 심장보다 높게 두는 자세로 휴식을 취하는 것이 좋습니다. 항염제나 진통제를 복용하면 통증 조절에 도움이 됩니다.


스플린트(부목)와 깁스의 역할
스플린트는 발가락이나 발의 움직임을 최소화하여 뼈가 안정적으로 붙을 수 있게 도와줍니다. 깁스보다 통기성이 좋고 부종 변화에 유연하게 대응할 수 있는 장점이 있습니다. 특히 새끼발가락 골절이나 2~4번째 발가락의 비전위 골절에서는 짧은 스플린트만으로도 충분합니다.
반면, 엄지발가락처럼 체중이 많이 실리는 부위는 반깁스(Short leg cast)로 보호하기도 합니다. 깁스는 발바닥을 포함한 하부 전체를 감싸기 때문에 안정성은 높지만, 땀과 냄새, 가려움 등의 불편함이 있습니다. 의료진은 부종의 정도와 환자의 생활 패턴을 고려해 스플린트 또는 깁스를 선택하게 됩니다.


수술적 치료가 필요한 경우
다음의 경우에는 수술이 필요합니다.
- 뼈가 어긋나 관절면이 맞지 않을 때
- 정복(뼈 맞추기)이 불가능하거나 유지되지 않을 때
- 복합 골절, 개방성 골절, 다발성 골절
- 혈관 손상이나 연부조직 괴사가 동반된 경우
이 경우, 관혈적 정복술(ORIF)을 통해 금속 핀이나 나사를 삽입하여 뼈를 고정합니다. 엄지발가락은 보행 시 하중이 크므로 수술 확률이 상대적으로 높습니다. 수술 후에는 발가락이 닿지 않도록 ‘수술후 신발(Post-op shoe)’을 착용하며, 약 4주 후 고정 핀을 제거합니다.

발가락 골절의 완치 기간
완치 기간은 골절 형태와 치료 방식, 환자의 연령과 건강 상태에 따라 다릅니다. 일반적인 회복 기간은 다음과 같습니다.
- 단순 골절(전위 없음): 약 3~4주
- 복합 골절 또는 수술 후: 6~8주
- 체중 부하 완전 허용까지: 약 8주 이후
어린 환자일수록 회복 속도가 빠르며, 당뇨병이나 혈액순환 장애가 있는 경우 회복이 지연될 수 있습니다. 핀을 제거한 후에는 버디 테이핑을 지속하며, 통증이 없어질 때까지 무리한 운동은 금합니다.

재활 및 관리
골절이 회복되더라도 발가락 관절의 경직이나 변형이 남을 수 있습니다. 이를 방지하려면 재활이 중요합니다.
- 가벼운 발가락 스트레칭: 통증이 없는 범위에서 발가락을 천천히 구부렸다 펴기를 반복합니다.
- 족저근막 마사지: 발바닥 전체를 지압하듯 눌러 근육의 긴장을 완화합니다.
- 걷기 연습: 보호신발 착용 후 점진적으로 체중을 실어 보행을 회복합니다.
재활기에는 통증이 남더라도 무리한 운동을 피하고, 의사의 지시에 따라 점진적으로 활동량을 늘리는 것이 좋습니다.
합병증과 후유증
대부분의 발가락 골절은 큰 후유증 없이 회복되지만, 다음과 같은 문제들이 발생할 수 있습니다.
- 부정유합: 뼈가 틀어진 채로 붙어 변형이 남는 경우
- 관절 강직: 장기간 고정으로 관절이 굳어지는 현상
- 만성 통증: 신경 손상이나 부정정렬로 인해 지속적인 통증 발생
- 발가락 괴사: 압궤손상(Crushing injury)으로 혈류가 차단될 때 발생
이러한 합병증이 남을 경우, 교정 절골술(뼈를 절개하여 정렬을 바로잡는 수술)을 시행하기도 합니다.


발가락 골절 후 일상 복귀 시점
보통 4주 이후부터는 가벼운 보행이 가능하며, 6~8주가 지나면 정상 생활로 복귀할 수 있습니다. 하지만 완전한 근력 회복과 유연성 복귀를 위해서는 2~3개월까지 주의가 필요합니다. 운동선수의 경우 복귀 전 단계에서 재손상 위험을 막기 위해 테이핑이나 보호대 착용이 필수적입니다.
발가락 골절 예방 방법
- 실내에서는 슬리퍼 대신 발등이 덮이는 실내화 착용
- 무거운 물건을 옮길 때 안전화 착용
- 야외 활동 시 딱딱한 밑창의 운동화 착용
- 미끄러운 욕실이나 주방에는 논슬립 매트 설치
예방이 최선의 치료라는 말처럼, 작은 실수로도 큰 통증과 불편함이 따르기 때문에 평소 생활습관에서 주의하는 것이 중요합니다.
결론
발가락 골절은 단순히 뼈가 부러지는 사고로 끝나지 않습니다. 적절한 초기 대응과 정확한 진단, 그리고 체계적인 치료가 이루어져야만 정상적인 보행 기능을 되찾을 수 있습니다. 단순 골절은 스플린트나 버디 테이핑으로 충분히 회복되지만, 어긋난 골절이나 관절면 손상이 동반된 경우 수술이 필요합니다. 치료 후에는 재활과 근력 회복이 필수이며, 완치까지의 기간은 평균 4~8주로 개인차가 큽니다. 무엇보다 통증이 심하거나 멍, 부기, 변형이 보인다면 ‘괜찮겠지’라는 생각보다는 전문의의 진료를 받아 정확히 진단받는 것이 최선입니다.
'건강 상식' 카테고리의 다른 글
| 노로바이러스 치료기간 (0) | 2025.11.16 |
|---|---|
| 모야모야병 증상 (0) | 2025.11.15 |
| 블루베리 효능, 하루 섭취량 (0) | 2025.11.09 |
| PSA 정상수치 - 전립선 검사 비용 (0) | 2025.11.08 |
| 길랑바레 증후군 증상 치료법 (0) | 2025.11.03 |