모야모야병 증상
평소와 다른 두통이나 갑작스러운 말더듬, 한쪽 팔다리에 힘이 빠지는 느낌은 누구에게나 일어날 수 있는 변화입니다. 하지만 이런 증상이 반복되거나 특정 상황에서 더 두드러진다면, 몸이 보내는 중요한 신호일 수 있습니다. 모야모야병은 초기에는 아주 미세한 증상만 나타나기 때문에 가볍게 넘기기 쉽지만, 뇌혈류와 관련된 문제이기 때문에 작은 변화도 놓치지 않는 것이 중요합니다. 아래에서는 모야모야병이 어떤 방식으로 나타나는지, 실제로 어떤 신체 반응이 일어나는지 차근차근 설명드립니다.

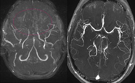
모야모야병이란 어떤 질환인가
모야모야병은 뇌 기저부에 있는 주요 혈관이 점차 좁아지면서 뇌로 가는 혈류량이 줄어드는 질환입니다. 혈류가 부족해지면 뇌는 새로 가늘고 약한 혈관을 만들어 혈류를 보완하려고 하는데, 이 혈관들이 모여 있는 모습이 연기처럼 보여 ‘모야모야’라는 이름이 붙었습니다.
이 질환은 소아와 성인 모두에게 발생할 수 있으며, 연령대에 따라 나타나는 증상의 양상이 조금씩 다르게 나타납니다.



초기 모야모야병 증상
초기 단계에서는 가볍고 일시적인 증상이 많아 피곤하거나 스트레스 때문이라고 넘기기 쉽습니다. 하지만 반복된다면 반드시 원인을 확인해야 합니다.
● 특정 상황에서 심해지는 두통
모야모야병에서 나타나는 두통은 일반적인 긴장성 두통과 다르게 특정 상황에서 유난히 심해지는 경우가 많습니다.
- 운동을 한 직후
- 뜨거운 물에 오래 노출된 뒤
- 아이들이 크게 울고 난 다음
이처럼 혈류 변화가 큰 상태에서 두통이 반복된다면 한 번쯤 주의 깊게 살펴볼 필요가 있습니다.



● 순간적인 언어 장애
평소에는 잘 말하던 사람이 갑자기 발음이 어눌해지거나 단어가 바로 떠오르지 않는 경험을 할 수 있습니다.
이런 현상은 몇 초에서 몇 분 사이에 자연스럽게 회복되기 때문에 대수롭지 않게 넘기기 쉽지만, 뇌로 가는 혈류가 순간적으로 감소할 때 나타나는 대표적인 증상 중 하나입니다.
● 한쪽 팔다리의 저림 또는 힘 빠짐
특히 한쪽 팔이나 다리에만 일시적으로 힘이 빠지거나 저릿한 느낌이 드는 것은 일과성 허혈 발작(TIA)과 관련될 수 있습니다.
- 걸을 때 다리에 힘이 잠시 빠짐
- 물건을 들고 있다가 손에 힘이 없어 떨어뜨림
- 팔이나 다리가 수초~수분 정도 이상하게 둔해짐
이런 증상이 반복되면 뇌혈류의 문제로 이어질 가능성이 높습니다.
소아에게서 나타나는 모야모야병 증상
어린이에게는 감정 변화나 활동 이후에 증상이 눈에 띄게 나타나는 경우가 많습니다.
- 울고 난 뒤 갑자기 손이나 발의 힘이 빠짐
- 달리기를 한 후 멍해지거나 말을 잘 하지 못함
- 뜨거운 욕조에서 나온 뒤 힘이 빠지거나 어지러움
- 집중력 저하, 갑작스러운 학습 태도 변화
아이들은 증상을 정확히 표현하지 못하기 때문에 주변에서 패턴을 관찰해주는 것이 중요합니다.



성인에게서 흔하게 나타나는 모야모야병 증상
성인의 경우 소아와 달리 출혈성 증상이 나타날 가능성이 높습니다.
- 지속적이거나 편측으로 나타나는 두통
- 계단 오르기나 운동 후 심해지는 어지러움
- 갑작스러운 언어 장애
- 한쪽 팔다리의 힘 빠짐
- 순간적인 혼돈, 판단력 저하
- 아주 심한 경우 구토를 동반한 극심한 두통
이런 증상이 반복된다면 뇌혈류가 안정적으로 공급되지 않는 상태일 수 있습니다.



진행된 모야모야병에서 나타나는 대표적 증상
● 일과성 허혈 발작(TIA)
뇌혈류가 순간적으로 끊기는 현상으로, 몇 분 안에 회복되지만 반복될수록 위험 신호입니다.
- 얼굴 한쪽이 갑자기 마비됨
- 말이 어눌해지며 의사소통 어려움
- 시야 흐림 또는 한쪽 시야가 갑자기 가려짐
- 몸의 균형을 잃고 넘어질 듯한 느낌
● 뇌출혈
특히 성인 환자에게서 자주 나타나는 심각한 증상입니다.
- 벼락처럼 갑작스러운 두통
- 구토
- 의식 저하
- 팔다리 마비
가느다란 보조 혈관이 쉽게 파열되기 때문에 즉각적인 응급 치료가 필요합니다.
● 발작(경련)
소아 환자에게 상대적으로 많으며, 열이 없는데도 경련이 나타나는 경우에는 추가 확인이 필요합니다.



어떤 상황에서 증상이 더 잘 나타나는가
모야모야병은 뇌혈류가 급격히 바뀌는 상황에서 증상이 쉽게 유발됩니다.
- 과격한 운동
- 뜨거운 사우나·온탕
- 심한 울음
- 과음
- 수면 부족
- 스트레스 상황
이런 조건들은 혈압과 뇌혈류 변화가 커서 증상 발생 가능성을 높입니다.



모야모야병을 의심해야 할 때
다음 항목 중 두 가지 이상이 반복된다면 검사해보는 것이 안전합니다.
- 말하기가 갑자기 어려워지는 현상이 반복
- 한쪽 팔다리가 저리거나 힘이 빠짐
- 특정 상황에서 두통이 유난히 심해짐
- 운동·울음·온탕 후 이상 행동
- 시야가 순간적으로 흐려짐
- 집중력 저하·인지력 약화
이런 신호들은 뇌혈류와 직결된 변화이므로 가볍게 넘기지 않는 것이 좋습니다.



일상 관리 방법
모야모야병이 의심되거나 진단을 받은 경우에는 생활 습관 관리도 중요합니다.
- 과격한 운동 줄이기
- 뜨거운 환경 피하기
- 충분한 수면
- 규칙적인 수분 섭취
- 스트레스 관리
- 음주 최소화
이런 관리만으로도 증상 악화 빈도를 줄이는 데 도움이 됩니다.



결론
모야모야병은 처음에는 가벼운 두통이나 저림처럼 시작되지만, 진행되면 뇌혈류에 큰 영향을 주는 질환입니다. 작은 신호라도 반복된다면 원인을 확인하고, 필요하다면 전문 진료를 통해 정확한 검사를 받는 것이 무엇보다 중요합니다.
'건강 상식' 카테고리의 다른 글
| 귓볼에 대각선 주름 의미 + 가로 세로 프랭크 징후란? (0) | 2025.11.18 |
|---|---|
| 노로바이러스 치료기간 (0) | 2025.11.16 |
| 발가락 골절 완치 기간 및 스플린트 깁스 (0) | 2025.11.09 |
| 블루베리 효능, 하루 섭취량 (0) | 2025.11.09 |
| PSA 정상수치 - 전립선 검사 비용 (0) | 2025.11.08 |