상완골 골절 핀제거, 상완골 골절 치료기간, 상완골 골절 재활 (어깨뼈 골절 수술후 재활치료)
상완골 골절은 팔의 기능을 담당하는 핵심 뼈가 손상되는 질환으로, 단순 골절부터 분쇄 골절까지 다양한 형태로 발생합니다. 특히 교통사고나 낙상, 스포츠 손상 등 외상에 의해 발생하는 경우가 많으며, 치료 과정은 단순히 뼈를 붙이는 것에서 끝나지 않고 재활까지 이어지는 장기적인 관리가 필요합니다.

많은 분들이 수술 여부, 입원 기간, 핀 제거 시기, 재활 기간 등에 대해 궁금해하는데, 실제로는 개인 상태와 골절 양상에 따라 상당한 차이가 발생합니다.

따라서 상완골 골절은 ‘기간’보다 ‘과정’을 이해하는 것이 중요하며, 각 단계별 관리가 회복 속도와 후유증에 직접적인 영향을 미칩니다.
상완골 골절이란 무엇인가
상완골은 어깨부터 팔꿈치까지 이어지는 긴 뼈로, 어깨관절과 팔꿈치관절을 연결하는 핵심 구조입니다. 이 부위가 골절되면 단순한 통증을 넘어서 팔의 움직임 자체가 제한되며 일상생활에 큰 불편을 초래합니다.



상완골 골절의 주요 특징을 정리하면 다음과 같습니다.
- 위치별 분류
- 근위부 골절: 어깨 관절 근처 골절
- 간부 골절: 중간 뼈 부분 골절
- 원위부 골절: 팔꿈치 근처 골절
- 원인
- 교통사고, 낙상, 운동 중 충격
- 골다공증으로 인한 약한 뼈 상태
- 증상
- 극심한 통증
- 팔 움직임 제한
- 부종 및 멍
- 심한 경우 변형
이처럼 상완골 골절은 위치에 따라 치료 방법과 회복 속도가 크게 달라집니다.



상완골 골절 치료 방법과 수술 여부
상완골 골절은 반드시 수술이 필요한 것은 아니며, 골절 상태에 따라 보존적 치료와 수술적 치료로 나뉩니다.
대표적인 치료 방법은 다음과 같습니다.
- 비수술 치료
- 깁스 또는 보조기 고정
- 경미한 골절에 적용
- 약 4~6주 고정 유지
- 수술 치료
- 금속 핀, 플레이트, 나사 고정
- 골절이 심하거나 어긋난 경우
- 기능 회복을 위해 정렬이 중요한 경우
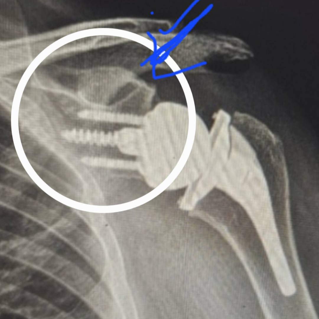
특히 핀 고정 수술은 골절 부위를 정확히 맞추고 빠르게 안정화할 수 있다는 장점이 있습니다. 다만 수술 이후에도 재활이 반드시 병행되어야 정상적인 기능 회복이 가능합니다.

상완골 골절 치료기간 (입원 및 회복 기간)
상완골 골절의 치료기간은 단순히 뼈가 붙는 기간이 아니라, 기능 회복까지 포함한 전체 회복 과정으로 이해해야 합니다.

일반적인 치료기간 흐름은 다음과 같습니다.
- 입원 기간
- 약 10일~2주
- 상태에 따라 최대 12주까지 가능
- 초기 고정 기간
- 약 4주 전후
- 깁스 또는 보조기 사용
- 뼈 유합 기간
- 약 6~12주
- 일상 복귀
- 약 3개월 전후
- 완전 회복
- 6개월 이상 소요
이 기간은 개인의 나이, 골절 정도, 재활 참여도에 따라 크게 달라질 수 있습니다.
상완골 골절 핀 제거 시기
상완골 골절 핀 제거는 많은 환자들이 궁금해하는 부분 중 하나입니다. 금속 고정물은 영구적으로 남겨두는 경우도 있지만, 불편감이나 합병증 예방을 위해 제거하기도 합니다.


상완골 골절 핀 제거 기준은 다음과 같습니다.
- 상완골 골절 핀 제거 제거 시기
- 일반적으로 6개월~1년 이후
- 상완골 골절 핀 제거 제거 필요성
- 통증 유발
- 움직임 제한
- 감염 위험
- 제거하지 않는 경우
- 특별한 증상이 없는 경우
- 고령 환자
핀 제거 수술은 비교적 간단한 편이지만, 다시 회복 기간이 필요하기 때문에 반드시 의료진과 충분한 상담 후 결정해야 합니다.

어깨뼈 골절 수술 후 재활치료의 중요성
상완골 골절 치료에서 가장 중요한 단계는 재활입니다. 뼈는 붙었지만 움직이지 못하는 상태가 될 수 있기 때문에, 근육과 관절 기능 회복이 핵심입니다.


어깨뼈 골절 수술 후 재활치료
어깨뼈 골절 수술 후 재활 치료의 주요 목적은 다음과 같습니다.
- 관절 가동 범위 회복
- 근력 회복
- 통증 감소
- 일상생활 복귀
재활은 단순 물리치료뿐 아니라 운동 치료가 포함된 개념입니다.
상완골 골절 재활 단계별 과정
재활은 시기에 따라 단계적으로 진행됩니다. 무리한 운동은 오히려 회복을 지연시킬 수 있기 때문에 단계별 접근이 중요합니다.
- 1단계 (수술 후 0~4주)
- 고정 유지
- 가벼운 손목, 손가락 운동
- 2단계 (4~8주)
- 어깨 관절 가동 운동 시작
- 통증 범위 내 운동
- 3단계 (8~12주)
- 근력 강화 운동
- 일상 동작 복귀
- 4단계 (3개월 이후)
- 정상 활동 회복
- 스포츠 활동 준비
이 과정에서 가장 중요한 것은 ‘지속성’입니다. 꾸준한 재활이 결과를 좌우합니다.
물리치료와 도수치료 차이
재활 과정에서 흔히 혼동되는 것이 물리치료와 도수치료입니다. 두 치료는 목적과 방식이 다릅니다.


- 물리치료
- 전기치료, 온열치료
- 통증 완화 목적
- 도수치료
- 치료사가 직접 관절 움직임 교정
- 기능 회복 중심
도수치료는 비급여 항목으로 비용 부담이 있으며, 보험 적용 여부를 사전에 확인하는 것이 필요합니다.


재활 중 주의사항
재활 과정에서는 무리한 운동이나 잘못된 습관이 회복을 방해할 수 있습니다.
주의해야 할 사항은 다음과 같습니다.
- 통증을 무시한 운동 금지
- 무거운 물건 들기 제한
- 갑작스러운 어깨 사용 금지
- 꾸준한 스트레칭 유지
특히 초기 단계에서의 무리한 사용은 재골절 위험까지 높일 수 있습니다.



결론
상완골 골절은 단순한 뼈 손상이 아니라, 치료부터 재활까지 긴 시간을 필요로 하는 질환입니다. 수술 여부, 입원 기간, 핀 제거 시기 등은 개인 상태에 따라 달라지지만, 공통적으로 중요한 것은 재활입니다. 뼈가 붙는 것보다 더 중요한 것은 ‘정상적인 움직임을 회복하는 것’이며, 이를 위해서는 꾸준한 치료와 관리가 필수입니다.

결국 회복 속도를 결정짓는 것은 의료진의 치료뿐 아니라 환자의 적극적인 재활 참여와 생활 관리입니다. 충분한 이해를 바탕으로 단계별 치료를 진행한다면, 기능 회복과 일상 복귀는 충분히 가능합니다.


'건강 상식' 카테고리의 다른 글
| 왼쪽 갈비뼈 아래 통증 원인 고찰 (0) | 2026.04.03 |
|---|---|
| 민들레 효능 7가지 (0) | 2026.03.30 |
| 올리브오일 먹는법, 가열온도, 효능 (0) | 2026.03.26 |
| 마누카 꿀 복용법 | 효능 (0) | 2026.03.12 |
| 설사가 계속될 때 해결법 (0) | 2026.03.08 |