갈비뼈 금간 증상, 골절 치료기간
갈비뼈에 금이 가는 것을 '불완전 골절' 또는 '미세 골절'이라고 하며, 뼈가 완전히 부러진 경우에는 '완전 골절'로 구분합니다. 이 글에서는 갈비뼈 금간 증상, 골절 치료기간에 대해 자세히 살펴보도록 하겠습니다.

갈비뼈는 인체의 흉부를 보호하는 중요한 구조물로 봅니다. 총 12쌍의 갈비뼈는 심장과 폐를 포함한 내부 장기를 감싸는 동시에, 호흡 시 폐의 확장과 수축을 도와주는 역할도 수행합니다. 그러나 스포츠 활동, 교통사고, 높은 곳에서의 추락, 무거운 물건을 들다가 생긴 부주의한 움직임 등 다양한 원인으로 갈비뼈에 금이 가거나 골절이 발생할 수 있습니다.



갈비뼈 금간 증상, 어떻게 나타날까?
갈비뼈에 금이 가면 뚜렷한 외상 흔적 없이도 많이 불편한 증상이 발생합니다. 단순한 타박상과 구별하기 어려운 경우도 많지만, 다음과 같은 증상이 지속될 경우 갈비뼈에 금이 갔을 가능성을 의심해야 합니다.
1. 통증
가장 흔한 증상은 통증입니다. 호흡 시 특히 심해지는 통증이 대표적이며, 깊게 숨을 들이마시거나 기침, 재채기할 때 날카로운 통증이 느껴집니다. 눕거나 특정 자세를 취할 때, 또는 상체를 비틀거리거나 팔을 들 때도 통증이 심화될 수 있습니다.
2. 국소 압통
갈비뼈 부위 중 금이 간 특정 부위를 손으로 누르면 다른 부위보다 명확하게 통증이 느껴지는 압통점이 존재합니다. 이는 손상된 갈비뼈 부위의 염증 반응이나 미세 출혈에 의해 나타날 수 있습니다.
3. 호흡 곤란
심한 경우, 숨쉬기 힘들거나 얕은 호흡을 하게 되는 경우도 있습니다. 이는 통증을 회피하려는 자연스러운 반응이지만, 장기적으로는 폐 기능 저하로 이어질 수 있어 주의가 필요합니다.
4. 부기 또는 멍
강한 충격이 있었다면 해당 부위에 부기나 멍, 색변화가 생길 수 있습니다. 하지만 갈비뼈는 피부로 직접 드러나지 않아 외형상 변화가 미미한 경우도 많습니다.
5. 잡음 또는 클릭음
드문 경우지만, 움직일 때 '딱딱' 소리나 뭔가 끼이는 느낌이 들 수 있습니다. 이는 갈비뼈의 위치가 미세하게 변했거나, 염증으로 인해 주변 조직과 마찰이 생긴 경우입니다.



진단 방법
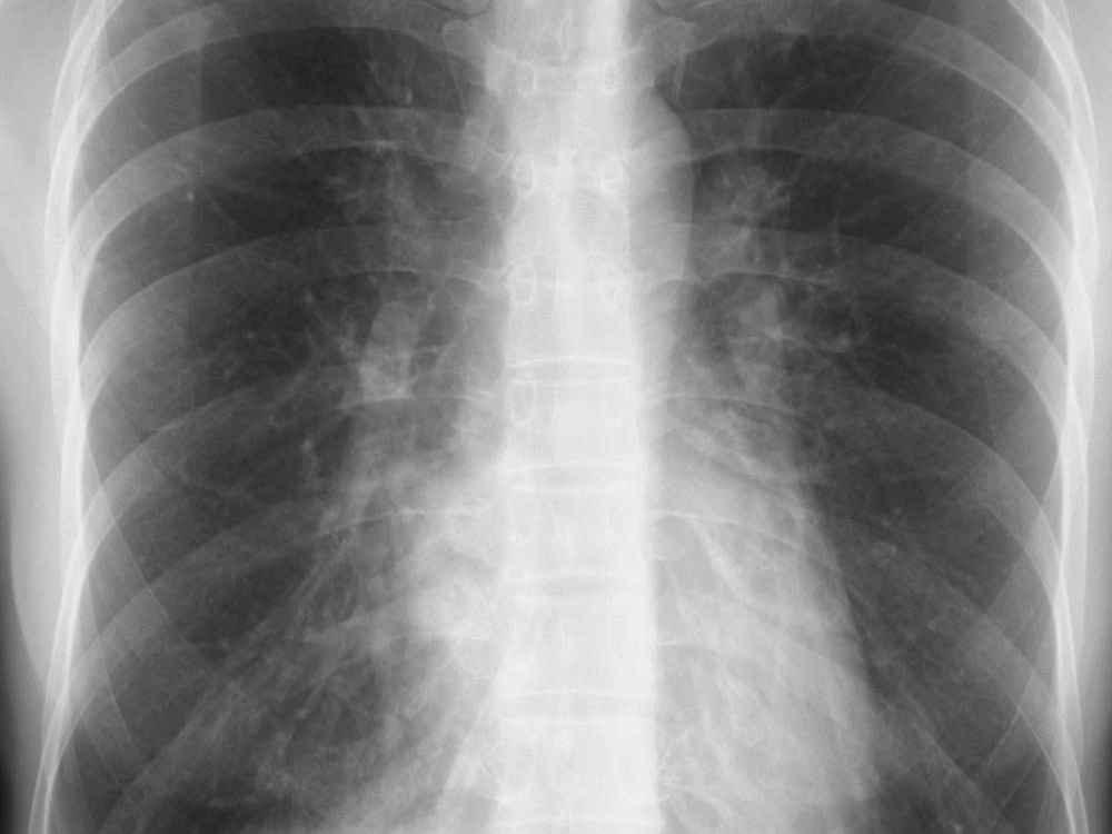
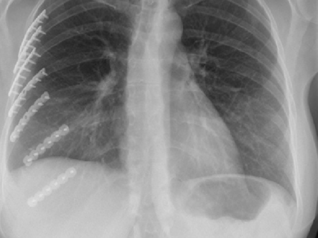
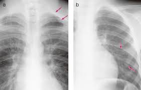
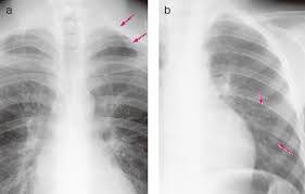
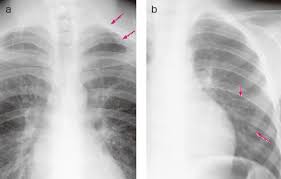
갈비뼈의 미세 손상은 단순 엑스레이(X-ray)로 잘 보이지 않는 경우가 많습니다. 이 경우 CT(컴퓨터 단층촬영) 또는 초음파 검사가 보조적으로 사용될 수 있습니다. 의사는 병력 청취와 촉진검사를 통해 통증 부위를 확인한 뒤, 필요한 경우 정밀 진단을 권합니다.
갈비뼈 골절 치료, 수술보다는 보존 치료
갈비뼈에 금이 갔거나 골절이 발생했을 때 대부분의 경우 수술이 아닌 보존적 치료를 시행합니다. 이는 갈비뼈가 지속적인 움직임을 통해 호흡을 보조하는 구조이기 때문에, 고정이 어렵고 자연 치유를 유도하는 것이 일반적이기 때문입니다.
주요 치료 방법은 다음과 같습니다:
- 안정 취하기: 초기 2~3주는 무리한 활동을 삼가야 하며, 가능한 한 상체를 과도하게 움직이지 않도록 주의해야 합니다.
- 진통제 복용: 이부프로펜, 아세트아미노펜 등의 소염진통제(NSAIDs)가 통증 조절에 사용됩니다. 너무 심한 통증이 있을 경우, 의사의 처방 하에 강력한 진통제를 사용할 수도 있습니다.
- 호흡 운동 유지: 얕은 호흡은 폐렴이나 무기폐로 이어질 수 있으므로, 아프더라도 깊은 호흡과 가벼운 기침을 유지해야 합니다.
- 냉찜질 또는 온찜질: 초기에는 냉찜질로 염증을 줄이고, 이후 회복기에는 온찜질로 혈류를 촉진하는 것이 좋습니다.
- 갈비뼈 압박 금지: 예전에는 압박붕대가 사용되었지만, 현재는 호흡 제한을 유발할 수 있어 금기로 간주됩니다.
갈비뼈 골절 치료기간, 회복까지 얼마나 걸릴까?
치료 기간은 손상 정도, 연령, 개인의 건강 상태에 따라 달라집니다. 일반적으로 갈비뼈 골절은 자연 치유에 따라 4~6주 정도의 회복 기간이 필요합니다.
- 경미한 금간 경우: 약 3~4주 안에 일상 생활이 가능해질 수 있으며, 통증도 점차 완화됩니다.
- 복수 골절 혹은 완전 골절: 6주 이상 소요되며, 흉막 손상, 폐렴, 늑막염 등의 합병증이 동반된 경우 치료기간이 2개월 이상 걸릴 수 있습니다.









1. 기침이나 재채기할 때는 배게를 안고
기침이나 재채기를 해야 할 때는 복부나 가슴에 부드러운 쿠션이나 배게를 안고 압박해주는 동작이 통증을 완화하는 데 도움이 됩니다. 이 방법은 흉곽의 진동을 줄여 갈비뼈에 가해지는 부담을 덜어줍니다.
2. 침대에서 일어날 때는 옆으로 굴러서
갑작스럽게 상체를 들어올리면 갈비뼈에 자극이 가해지므로, 일어날 때는 먼저 옆으로 굴러 누운 다음, 팔을 이용해 천천히 몸을 일으키는 방법이 안전합니다.
3. 무의식 중 자세 교정에 유의
자세를 바르게 유지하려는 의도로 지나치게 허리를 펴거나, 가슴을 들고 걷는 행동이 오히려 갈비뼈에 부담을 줄 수 있습니다. 일상 동작은 최대한 자연스럽고 부드럽게 유지하는 것이 중요합니다.
4. 운전이나 통근은 통증 사라진 후에
차량 운전 시 상체가 고정되며 도로의 진동이 갈비뼈에 전달될 수 있으므로, 운전은 통증이 거의 없어진 후에 제한적으로 시작하는 것이 바람직합니다. 출퇴근이 필요하다면 대중교통을 이용하거나, 가능한 한 재택 근무를 권장합니다.
5. 회복 중 수면 자세는 약간 높은 상체로
수면 시 약간 상체를 45도 정도 높인 반좌위 자세가 호흡에 부담을 덜고 통증을 완화하는 데 도움이 됩니다. 침대 머리를 올리거나, 쿠션을 활용해 경사를 만들 수 있습니다.


회복 중 주의사항
갈비뼈는 계속해서 움직이는 부위이기 때문에, 치료 중에는 재손상 방지와 폐 합병증 예방이 핵심입니다.
- 누운 자세보다 앉거나 서 있는 자세가 통증 완화에 도움이 됩니다.
- 심호흡 및 호흡운동은 매일 일정 시간 수행해 폐 기능을 유지하세요.
- 기침이 두려워 억제하는 경우, 폐 내 점액 배출이 되지 않아 감염의 위험이 커질 수 있습니다.
- 흡연자는 금연이 필수입니다. 니코틴은 회복을 지연시키고, 폐 합병증의 위험을 높입니다.
- 치료 기간 중 운동은 피하고, 일상 복귀는 통증이 완전히 사라진 이후에 단계적으로 진행해야 합니다.
병원 진료 시기
아래와 같은 경우에는 지체 없이 병원 진료를 받아야 합니다.
- 깊은 숨을 쉬기도 어렵고 지속적인 흉통이 있을 때
- 가슴 부위에 압박감이 느껴지며 호흡이 불규칙할 때
- 기침 시 피가 섞여 나오는 경우
- 복수의 갈비뼈가 부러진 것으로 의심될 경우
- 고령자, 만성 질환자, 폐질환 병력이 있는 경우

마무리
갈비뼈는 비교적 자주 손상되는 부위지만, 자가 회복이 가능한 구조이기도 합니다. 그러나 적절한 진단과 관리가 이루어지지 않으면 폐렴, 늑막염, 만성통증으로 이어질 수 있어 가볍게 넘겨서는 안 됩니다. 갈비뼈에 금이 간 것 같다는 느낌이 들거나 원인 모를 흉통이 지속된다면, 꼭 정밀 검사를 받아보시길 권합니다.
'건강 상식' 카테고리의 다른 글
| 비타민d 부족증상 (0) | 2025.04.25 |
|---|---|
| 들기름 효능, 먹는법, 보관방법 (0) | 2025.04.17 |
| 카페인 없는 차, 종류와 효능 (0) | 2025.04.06 |
| 명아주 나물 효능과 청려장 지팡이 (0) | 2025.04.05 |
| 혓바늘이 돋는 이유, 자가 치료법 (0) | 2025.04.04 |